Cabinet dentaire des Drs Victor VOUILLOT et Nour RAMDANI
16A route de la belle étoile, 25770 Franois
+33 3 81 56 61 53
Cabinet dentaire des Drs Victor VOUILLOT et Nour RAMDANI
Chirurgiens-Dentistes IMPLANTOLOGIE - CHIRURGIE PRE IMPLANTAIRE - ESTHETIQUE - PARODONTOLOGIE -

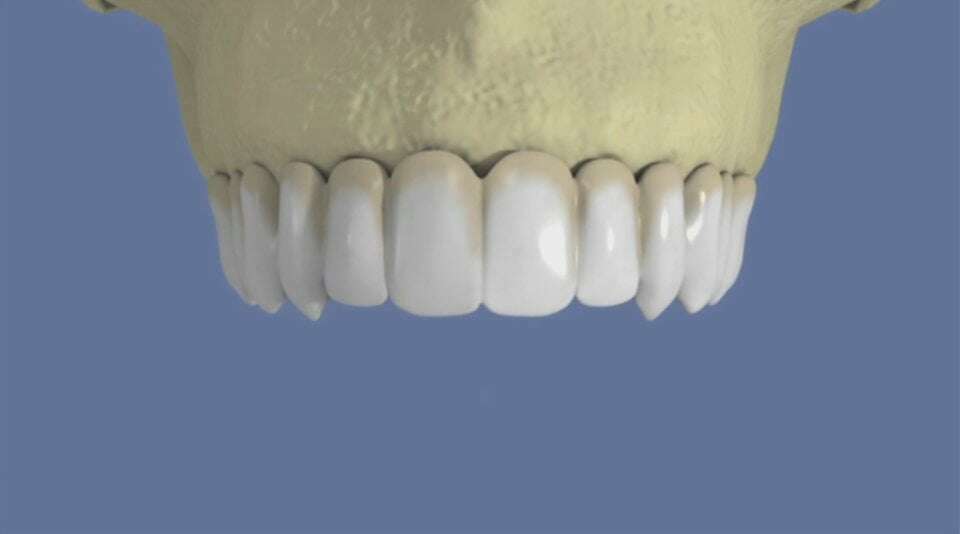
Maxillaire : bridge vissé sans fausse gencive


video-play-icon

Articles similaires

Création par Webdentiste

Connexion